
건선은 피부에 은색 비늘 같은 각질이 생기고 붉은 반점이 나타나는 만성 피부질환이에요. 하지만 건선처럼 보이는 증상은 아토피, 지루성 피부염, 백반증 등 다양한 질환에서도 나타날 수 있어서 혼동되기 쉬워요. 그래서 본인의 피부 상태가 어떤 질환에 해당하는지 구체적으로 알아보는 게 정말 중요하답니다.
특히 건선은 단순히 피부 문제로 끝나지 않고 관절통이나 다른 자가면역 질환과 연관될 수도 있기 때문에, 조기 진단과 정확한 치료가 필요해요. 내가 생각했을 때 가장 중요한 건, 증상을 정확히 구별하고 필요한 시점에 전문가와 상담하는 거예요.
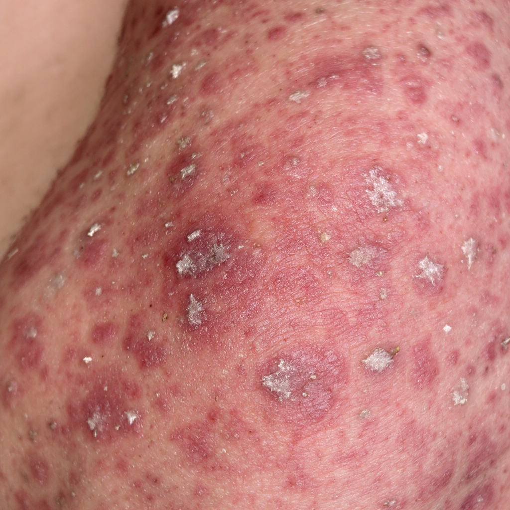
건선인가? 다른 피부질환과의 구별법 🔍
건선은 붉고 두꺼운 반점 위에 은백색 각질이 덮여 있는 게 가장 큰 특징이에요. 팔꿈치, 무릎, 두피, 허리 같은 부위에 잘 생기고 가려움보다는 각질과 피부 벗겨짐이 두드러져요. 이와 같은 패턴이 지속적으로 반복되며, 만성적인 양상을 띠죠.
하지만 피부에 붉은 발진이 있다고 무조건 건선이라고 보기는 어려워요. 실제로 아토피나 지루성 피부염, 심지어 백반증까지도 유사한 외형을 가질 수 있답니다. 예를 들어, 지루성 피부염도 두피에 각질과 붉은 피부가 생기지만 가려움이 심하고 기름기 있는 부위에 주로 발생해요.
백반증은 멜라닌 세포가 파괴되어 하얀 반점이 생기는 질환으로, 염증이 없고 비늘 같은 각질도 없어요. 건선과 달리 붉지 않으며 경계도 더 분명하죠. 따라서 단순히 증상만 보고 자가 진단하기보다는 정밀한 비교와 전문가 소견이 꼭 필요해요.
건선은 자가면역 질환의 일종이라 단순한 피부 외적인 문제로만 보기 어려워요. 병변이 반복적으로 재발하며 체계적인 치료와 관리를 요구해요. 이 부분이 일시적으로 생겼다 사라지는 일반적인 피부염과는 큰 차이를 보여주는 지점이에요.
구별 포인트를 간단히 정리하면, 건선은 붉고 두껍고 각질이 많으며 특정 부위에 반복적으로 발생해요. 반면, 아토피는 가려움과 습진 형태가 강하고, 지루성 피부염은 기름진 피부에 생기며, 백반증은 단순한 탈색성 병변으로서 각질이 없어요.
🧴 주요 피부질환 특징 비교표 📊
| 질환 | 특징 | 주요 증상 부위 |
|---|---|---|
| 건선 | 은백색 각질, 붉은 판 | 팔꿈치, 무릎, 두피, 허리 |
| 아토피 | 가려움, 습진성 발진 | 팔 안쪽, 다리 접히는 부분 |
| 지루성 피부염 | 기름진 각질, 붉은 반점 | 두피, 코 옆, 이마 중앙 |
| 백반증 | 하얀 반점, 각질 없음 | 손등, 얼굴, 손가락 관절 |
건선과 아토피의 차이 🌡️
건선과 아토피는 둘 다 만성적인 피부질환이지만, 증상과 발생 원인이 매우 달라요. 건선은 자가면역 질환으로 면역세포가 피부세포를 과도하게 증식시키면서 각질이 생기고 두꺼운 판 형태의 병변이 생겨요. 반면 아토피는 면역 불균형과 피부 장벽 손상이 주요 원인이에요.
아토피는 극심한 가려움이 가장 두드러진 증상이에요. 특히 밤에 더 심해지는 경우가 많아서 수면의 질까지 떨어뜨릴 수 있어요. 건선은 가려움이 덜하고, 피부 표면이 하얀 비늘처럼 일어나며 두껍게 변하는 게 특징이죠.
또한, 아토피는 대부분 어린 시절부터 시작돼서 성인이 되면서 자연스럽게 호전되기도 해요. 건선은 보통 청년기 이후에 시작되며, 평생 관리가 필요한 질환이에요. 가족력이 있는 경우도 많지만, 발병 시점이 아토피보다 늦어요.
피부 병변의 모양도 뚜렷하게 달라요. 아토피는 진물 나는 습진성 병변이나 붉은 발진이 고르게 퍼져 있는 반면, 건선은 경계가 분명한 붉은 판 위에 비늘 같은 각질이 겹겹이 쌓여 있어요. 외형에서만 봐도 꽤 구분이 가능하죠.
둘 다 가을, 겨울철처럼 건조한 환경에서 증상이 악화되지만, 치료 방법에는 큰 차이가 있어요. 아토피는 보습과 항염치료가 중심인 반면, 건선은 면역조절 치료나 광선 치료, 생물학적 제제 같은 고도 치료가 필요할 수 있어요.
🧪 건선 vs 아토피 비교표 👀
| 항목 | 건선 | 아토피 |
|---|---|---|
| 원인 | 자가면역 이상 | 면역 불균형, 피부 장벽 손상 |
| 가려움 | 적거나 없음 | 심한 가려움, 특히 밤 |
| 피부 형태 | 붉은 판, 은색 각질 | 습진형, 진물 동반 |
| 발병 시기 | 청년기 이후 | 소아기 시작 |
지루성 피부염과의 구별 🧴
지루성 피부염은 건선과 가장 혼동되기 쉬운 피부질환 중 하나예요. 특히 두피나 이마, 코 옆처럼 피지선이 발달한 부위에 붉은 반점과 함께 기름기 있는 비늘이 생기기 때문에 건선과 구별이 어렵기도 해요.
건선은 두피에 생길 경우 뚜렷한 경계를 가지며 두꺼운 각질이 겹겹이 쌓이고, 탈모 없이 넓게 퍼지는 양상을 보이는 반면, 지루성 피부염은 각질이 얇고 노란 기름기 있는 비듬처럼 보여요. 가려움도 지루성 피부염이 더 심한 편이에요.
두 질환 모두 만성적이긴 하지만, 건선은 면역계 문제로 인해 발생하는 자가면역 질환이기 때문에 광선치료나 면역조절 치료가 필요할 수 있어요. 반면 지루성 피부염은 곰팡이균(Malassezia)이 피지와 만나 염증을 유발하는 거라 항진균 샴푸나 연고가 효과적이에요.
두피에 딱지가 생겼을 때, 흰색이면서 단단하고 각질이 두껍다면 건선일 가능성이 높고, 노란색 기름기가 섞인 비듬이라면 지루성 피부염일 가능성이 커요. 이런 점에서 색, 질감, 위치 등을 잘 관찰해야 해요.
지루성 피부염은 스트레스나 날씨 변화에도 악화되기 쉬워서 생활습관 관리가 매우 중요하고, 건선은 전신 질환의 일환으로 보기 때문에 전반적인 건강 관리가 더 강조돼요. 치료법이 다르므로 구별이 꼭 필요해요.
백반증과 혼동 주의 ⚪
백반증은 피부의 색소 세포가 파괴되어 하얗게 탈색된 반점이 생기는 질환이에요. 특히 얼굴, 손등, 무릎, 발 등 자외선 노출이 많은 부위에 잘 나타나며, 대칭적으로 발생하는 경우가 많아요. 백반증은 통증이나 가려움, 각질이 거의 없다는 점에서 건선과 큰 차이를 보여요.
건선은 붉은색 바탕 위에 하얀 각질이 쌓이는 반면, 백반증은 피부색이 완전히 빠진 듯한 맑은 흰색이에요. 피부 질감도 부드럽고 얇으며, 특히 경계가 명확한 원형이나 타원형으로 나타나는 게 일반적이에요.
간혹 건선이 초기 탈색 반응을 보이거나 각질이 떨어져 나간 뒤 하얗게 보일 수 있어서 백반증으로 오인될 수 있어요. 하지만 백반증은 탈색 외에 염증, 각질, 붉은 기운이 동반되지 않기 때문에 유심히 살펴보면 구별이 가능해요.
백반증은 멜라닌 색소 파괴가 원인이라 치료도 레이저, 광선 치료, 면역 조절 연고 등 피부색을 복구하는 쪽으로 진행돼요. 반면 건선은 각질 제거와 염증 완화 중심의 치료가 이루어지기 때문에 처음부터 정확한 감별 진단이 중요하죠.
두 질환 모두 만성 질환이기 때문에 꾸준한 관리와 피부 전문의의 진단이 필수예요. 외관상 구별이 가능하긴 하지만, 자외선 반응 검사나 피부 생검 등을 통해 보다 정확한 판단을 내릴 수 있어요.
🔎 건선과 백반증 비교 정리표 🧾
| 항목 | 건선 | 백반증 |
|---|---|---|
| 색상 | 붉은 반점 + 은색 각질 | 맑은 흰색 반점 |
| 질감 | 두껍고 거칠음 | 얇고 부드러움 |
| 가려움 | 경미하게 존재 | 거의 없음 |
| 염증 반응 | 활발 | 없음 |
진단을 위한 검사법 🧬
피부과에서 건선을 정확히 진단하기 위해 사용하는 검사법은 다양해요. 가장 기본적인 방법은 전문의의 시진과 병력 청취예요. 병변의 모양, 위치, 각질의 두께, 병변 경계 등을 육안으로 확인하는 것으로 많은 경우 판단이 가능하죠.
하지만 혼동될 수 있는 질환이 많은 만큼, 확진을 위해 피부 생검(biopsy)을 진행하기도 해요. 생검은 병변의 일부를 절제하여 현미경으로 피부 조직 구조를 분석하는 방법이에요. 건선의 경우 표피가 비정상적으로 증식된 소견이 나타나요.
또한 우드등 검사라는 간단한 진단법도 있어요. 자외선 형광을 이용한 이 검사는 백반증처럼 색소 질환을 진단하는 데 유용해요. 백반증은 형광 아래서 선명한 흰색으로 보이고, 건선은 그렇지 않기 때문에 구별에 도움이 돼요.
피부염이 건선인지, 지루성인지 애매할 땐, 진균 검사도 고려할 수 있어요. 특히 지루성 피부염은 곰팡이균 관련일 수 있어서, 각질을 채취해 균배양검사를 해보면 확실해져요. 이런 다양한 검사 조합을 통해 보다 정확하게 진단할 수 있어요.
간단한 자가 진단이나 인터넷 정보만으로 섣불리 판단하기보다, 필요 시 피부과에서 전문 검사를 받아보는 것이 가장 확실한 방법이에요. 피부 상태는 생각보다 복잡하고 민감하니까요.
자가 진단의 위험성 ⚠️
요즘은 인터넷이나 SNS에 다양한 의학 정보가 넘쳐나서 본인이 증상을 보고 쉽게 ‘건선 같다’, ‘아토피 같다’라고 판단하기 쉬워요. 하지만 자가 진단은 생각보다 많은 위험을 내포하고 있어요. 특히 피부 질환은 유사한 증상이 많기 때문에 잘못 판단하면 적절한 치료 시기를 놓치기 쉬워요.
예를 들어, 건선을 아토피로 착각하고 보습제만 바르거나 스테로이드 연고만 쓰는 경우, 초기에는 증상이 나아지는 것처럼 보이지만 병변이 깊어지거나 다른 부위로 퍼질 가능성도 있어요. 반대로 건선인데 백반증인 줄 알고 색소치료를 받는 것도 부작용을 일으킬 수 있죠.
또한, 일부 민간요법이나 인터넷 후기를 맹신해서 검증되지 않은 방법으로 치료하는 것도 위험해요. 예를 들어 식초나 알로에 같은 천연 성분을 무분별하게 바르다가 피부가 더 자극받고 염증이 심해지는 경우도 있어요. 피부 장벽이 약해지면 세균 감염 가능성도 커져요.
특히 건선은 단순한 피부 병이 아닌 면역계 질환과 연관될 수 있기 때문에 병변 외에도 관절염, 손발톱 이상, 전신 피로와 같은 증상이 동반될 수 있어요. 자가 진단으로는 이 모든 증상을 포괄적으로 판단하기 어려워요.
피부는 외부 자극에 민감하고 복합적인 장기이기 때문에, 무턱대고 치료하거나 인터넷 정보에 의존하는 것보다 전문가와의 정확한 상담이 가장 안전하고 효과적인 길이에요.
전문가 상담 시점 🩺
피부에 이상 증상이 2주 이상 지속되거나, 병변이 점점 퍼지고 각질이 심해지는 경우라면 꼭 전문가 상담을 받아야 해요. 특히 피부가 두꺼워지거나 각질이 은백색으로 겹겹이 쌓이기 시작한다면 건선 가능성이 높아요.
또한, 스테로이드 연고나 약을 사용했음에도 불구하고 증상이 호전되지 않는다면 단순 피부염이 아닌 건선일 가능성을 의심해볼 수 있어요. 반복적으로 같은 부위에 증상이 생긴다면 전문 피부과 진단이 필요해요.
손톱에 오목한 자국이 생기거나, 손발톱이 두꺼워지면서 들뜨는 증상이 있다면, 이는 건선성 관절염의 초기 신호일 수도 있어요. 관절 통증이 동반된다면 피부과와 류마티스내과의 협진이 권장돼요.
또한, 계절 변화에 따라 증상이 심해진다면 자외선 치료나 계절별 맞춤 치료법이 필요할 수 있으니 전문가의 상담을 통해 관리 방향을 설정하는 것이 좋아요. 2025년 현재, 다양한 생물학적 제제가 출시되어 치료 가능성도 높아졌어요.
몸에 이상한 변화가 생겼을 때 혼자 끙끙 앓기보다는 조기에 병원을 찾는 것이 본인의 건강을 지키는 첫걸음이에요. 진단이 빠를수록 치료도 수월하니까요!
FAQ
Q1. 건선은 전염되나요?
A1. 아니에요. 건선은 자가면역 질환으로, 바이러스나 세균에 의해 생기는 게 아니기 때문에 전염되지 않아요.
Q2. 건선과 백반증을 구분하는 가장 쉬운 방법은?
A2. 백반증은 하얗게 탈색된 반점이며 각질이 없고, 건선은 붉은 반점 위에 은색 각질이 덮여 있어요.
Q3. 지루성 피부염과 건선은 함께 나타날 수 있나요?
A3. 드물지만 두 질환이 동시에 존재할 수 있어요. 특히 두피 건선과 지루성 피부염은 구별이 어려워요.
Q4. 건선은 완치되나요?
A4. 현재로선 완치보다는 관리가 목표예요. 꾸준한 치료로 증상을 조절하고 재발을 줄일 수 있어요.
Q5. 피부에만 나타나는 건선도 위험한가요?
A5. 피부에만 나타나더라도 전신 염증 반응이 있을 수 있어요. 건선성 관절염으로 진행될 수도 있어요.
Q6. 어린아이에게도 건선이 생기나요?
A6. 네, 소아건선도 존재해요. 유전적 요인이 큰 경우 유아기에도 발생할 수 있어요.
Q7. 자외선이 건선에 도움이 되나요?
A7. 일정량의 자외선은 건선 증상 완화에 도움이 될 수 있지만, 과도한 노출은 오히려 악화시킬 수 있어요.
Q8. 건선 환자는 어떤 음식 피해야 하나요?
A8. 술, 가공식품, 고지방 음식 등은 염증을 유발할 수 있어요. 항염 식단이 도움이 돼요.
'간지백-외과편 > 피부미용 기타' 카테고리의 다른 글
| 녹차 다이어트 실패 이유와 진짜 효과 (0) | 2025.05.22 |
|---|---|
| 방치하면 악화되는 건선 관리법 (1) | 2025.05.21 |
| 🧴지루성 피부염, 씻기로 해결할 수 있을까? (0) | 2025.05.21 |
| 두드러기 원인과 치료법 완전 정리 (1) | 2025.05.21 |
| 두드러기 원인과 피부 트러블 구분법 (0) | 2025.05.21 |