
📋 목차
뇌 CT 검사는 현대 의학에서 뇌질환 진단에 가장 중요한 영상검사 중 하나예요. 컴퓨터 단층촬영이라고도 불리는 이 검사는 X선을 이용해서 뇌의 단면 이미지를 얻어내는 방법이랍니다. 1970년대에 개발된 이후로 뇌졸중, 뇌출혈, 뇌종양 등 다양한 뇌질환을 조기에 발견하는 데 혁신적인 역할을 해왔어요.
뇌 CT 검사의 가장 큰 장점은 빠른 검사 시간과 응급상황에서의 신속한 진단이 가능하다는 점이에요. 보통 5-10분 정도면 검사가 끝나기 때문에 응급실에서 뇌출혈이나 뇌경색을 의심하는 환자에게 즉시 시행할 수 있답니다. 또한 MRI에 비해 상대적으로 저렴하고 접근성이 좋아서 많은 병원에서 쉽게 받을 수 있는 검사이기도 해요.
🧠 뇌 CT 검사란 무엇인가
뇌 CT 검사는 X선과 컴퓨터 기술을 결합한 첨단 영상진단 기법이에요. CT는 Computed Tomography의 줄임말로, 우리말로는 컴퓨터 단층촬영이라고 해요. 이 검사는 환자의 머리 주위를 X선 발생기가 회전하면서 여러 각도에서 X선을 조사하고, 이렇게 얻은 데이터를 컴퓨터가 계산해서 뇌의 단면 영상을 만들어내는 원리랍니다.
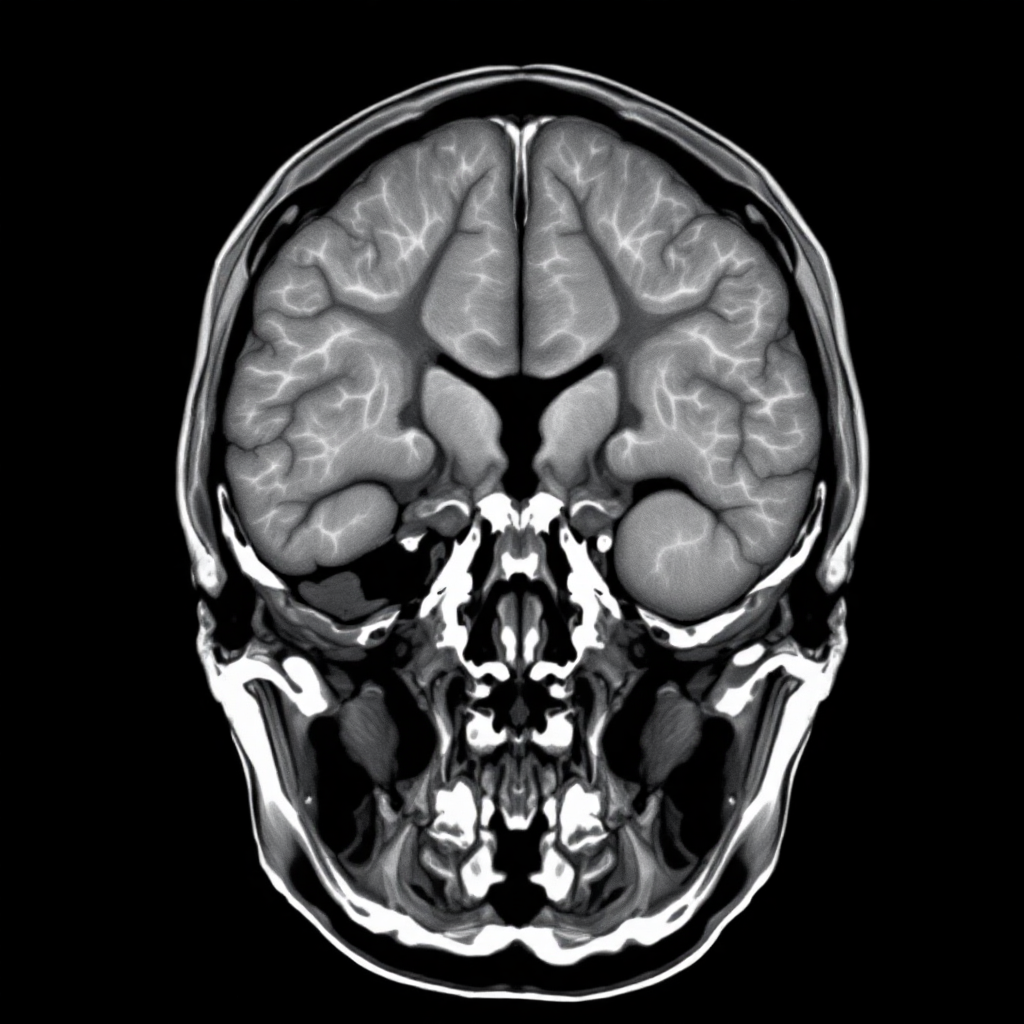
뇌 CT 검사의 핵심은 뇌 조직의 밀도 차이를 영상으로 보여주는 것이에요. 뼈는 하얗게, 뇌조직은 회색으로, 뇌척수액이나 출혈은 각각 다른 농도로 나타나기 때문에 의사들이 이를 통해 뇌의 이상 유무를 판단할 수 있어요. 특히 급성 뇌출혈의 경우 CT에서 매우 밝게 보이기 때문에 응급상황에서 빠른 진단이 가능하답니다.
1970년대 초 영국의 고드프리 하운스필드가 개발한 이후로 뇌 CT는 의학계에 혁명을 가져왔어요. 이전까지는 뇌를 들여다보려면 침습적인 검사가 필요했지만, CT의 등장으로 비침습적으로 뇌 내부를 상세히 관찰할 수 있게 되었거든요. 현재는 64슬라이스, 128슬라이스, 심지어 320슬라이스 CT까지 개발되어 더욱 정밀하고 빠른 검사가 가능해졌답니다.
뇌 CT 검사는 크게 단순 CT와 조영제를 사용하는 조영증강 CT로 나뉘어요. 단순 CT는 조영제 없이 시행하는 기본적인 검사로, 뇌출혈이나 급성 뇌경색, 뇌종양의 초기 진단에 사용돼요. 조영증강 CT는 혈관에 조영제를 주사한 후 촬영하는 방법으로, 혈관 상태나 종양의 혈류 공급 상태를 더 자세히 볼 수 있어요.
🧠 뇌 CT 검사 종류별 특징
| 검사 종류 | 특징 | 적용 질환 |
|---|---|---|
| 단순 CT | 조영제 없이 촬영 | 뇌출혈, 급성 뇌경색 |
| 조영증강 CT | 조영제 주사 후 촬영 | 뇌종양, 뇌혈관 질환 |
| CT 혈관조영술 | 혈관 전용 촬영 | 뇌동맥류, 혈관협착 |
내가 생각했을 때 뇌 CT 검사의 가장 인상적인 점은 기술의 발전 속도예요. 초기 CT는 한 번의 스캔에 몇 분이 걸렸지만, 현재의 최신 CT는 몇 초 만에 전체 뇌를 촬영할 수 있어요. 이러한 발전은 환자의 움직임에 의한 오차를 줄이고, 응급상황에서 더욱 신속한 진단을 가능하게 만들었답니다. 🏥
⚡ 뇌 CT 검사가 필요한 경우
뇌 CT 검사가 필요한 상황은 생각보다 다양해요. 가장 흔한 경우는 갑작스러운 심한 두통이 발생했을 때예요. 특히 "지금까지 경험해보지 못한 최악의 두통"이라고 표현될 정도의 심한 두통은 지주막하 출혈을 의심해볼 수 있기 때문에 즉시 CT 검사가 필요하답니다. 이런 두통은 뇌동맥류 파열로 인한 출혈일 가능성이 높아서 골든타임을 놓치면 생명이 위험할 수 있어요.
뇌졸중이 의심되는 증상이 나타났을 때도 응급으로 뇌 CT 검사를 시행해요. 한쪽 팔다리의 마비나 힘 빠짐, 갑작스러운 언어장애, 시야 결손, 의식저하 등이 대표적인 뇌졸중 증상이에요. 이런 증상들은 뇌혈관이 막히거나 터져서 발생하는데, CT를 통해 출혈성 뇌졸중인지 허혈성 뇌졸중인지 구분할 수 있어요. 이 구분은 치료 방향을 결정하는 데 매우 중요하답니다.
머리 외상을 당한 경우에도 뇌 CT 검사는 필수예요. 교통사고나 낙상, 스포츠 중 머리 부딪힘 등으로 두부외상을 입었다면 외견상 큰 문제가 없어 보여도 뇌 내부에 출혈이나 뇌부종이 발생할 수 있거든요. 특히 의식을 잃었다가 깨어난 경우나 지속적인 두통, 구토, 의식 상태 변화가 있다면 반드시 CT 검사를 받아야 해요.
간질이나 경련이 처음 발생한 경우에도 뇌 CT 검사를 통해 원인을 찾아야 해요. 뇌종양, 뇌출혈, 뇌경색 등이 간질의 원인이 될 수 있기 때문이에요. 또한 갑작스러운 성격 변화나 행동 이상, 기억력 저하 등의 정신신경학적 증상이 나타날 때도 뇌 질환을 배제하기 위해 CT 검사를 시행하는 경우가 많아요.
⚡ 뇌 CT 응급검사 기준
| 증상 | 위험도 | 검사 시급성 |
|---|---|---|
| 극심한 두통 | 매우 높음 | 즉시 |
| 의식저하 | 높음 | 응급 |
| 언어장애 | 중간 | 신속 |
뇌종양이 의심되는 경우에도 뇌 CT는 중요한 진단 도구예요. 지속적이고 점진적으로 악화되는 두통, 시야 장애, 호르몬 이상 등이 뇌종양의 초기 증상일 수 있어요. CT에서 종양이 발견되면 추가적으로 MRI 검사를 통해 더 정확한 진단을 받게 되는 경우가 많답니다. 🧠
⚡ 뇌 증상 방치하면 돌이킬 수 없어요!
👇 정확한 검사 정보 확인하세요
🚨 뇌질환 조기발견이 생명을 구해요!
두통, 어지럼증이 지속된다면 뇌질환 가능성을 확인해보세요.
정부 지원 검진 프로그램도 함께 알아보실 수 있어요!
📋 뇌 CT 검사 과정과 준비사항
뇌 CT 검사 과정은 생각보다 간단하고 빨라요. 먼저 검사 전 준비사항부터 알아볼게요. 단순 뇌 CT의 경우 특별한 준비사항이 거의 없어요. 평소와 같이 식사를 하셔도 되고, 복용 중인 약물도 의사와 상의 후 그대로 드시면 돼요. 다만 조영제를 사용하는 조영증강 CT의 경우에는 검사 4-6시간 전부터 금식을 해야 해요.
검사실에 들어가기 전에는 금속 제품을 모두 제거해야 해요. 목걸이, 귀걸이, 시계, 안경, 틀니 등이 모두 포함되죠. 이런 금속 제품들이 X선을 차단해서 영상에 인공음영을 만들 수 있기 때문이에요. 병원에서 제공하는 검사복으로 갈아입고, 개인 소지품은 안전한 곳에 보관하게 될 거예요.
CT 검사대에 누우면 머리 부분이 도넛 모양의 기계 안으로 들어가게 돼요. 이때 중요한 것은 검사 중에 절대 움직이면 안 된다는 점이에요. 조금만 움직여도 영상이 흐려져서 재검사를 해야 할 수 있거든요. 검사 중에는 기계가 돌아가는 소리가 나는데, 이는 정상적인 작동음이니까 놀라지 마세요. 보통 단순 CT는 5분 내외, 조영증강 CT는 10-15분 정도 걸려요.
조영제를 사용하는 경우에는 팔의 정맥에 주사바늘을 꽂고 조영제를 주입해요. 조영제가 몸 안으로 들어갈 때 따뜻한 느낌이나 약간의 메탈릭한 맛을 느낄 수 있는데, 이는 정상적인 반응이에요. 조영제 주입 후 몇 초에서 몇 분 후에 촬영을 시작하게 되며, 조영제가 뇌혈관과 뇌조직으로 퍼져나가는 과정을 영상으로 확인할 수 있어요.
📋 뇌 CT 검사 단계별 소요시간
| 단계 | 소요시간 | 활동내용 |
|---|---|---|
| 접수 및 준비 | 10-15분 | 서류작성, 복장교체 |
| 실제 촬영 | 5-15분 | CT 스캔 진행 |
| 검사 후 | 5분 | 관찰 및 정리 |
검사가 끝나면 조영제를 사용한 경우 15-30분 정도 관찰실에서 휴식을 취해야 해요. 이는 조영제에 의한 지연성 알레르기 반응을 확인하기 위해서랍니다. 대부분의 경우 별다른 이상 없이 귀가하실 수 있지만, 만약 두드러기나 가려움, 호흡곤란 등의 증상이 나타나면 즉시 의료진에게 알려야 해요. 검사 결과는 보통 당일이나 다음 날 확인할 수 있어요. 📊
📊 뇌 CT 결과 해석 방법
뇌 CT 결과를 해석하는 것은 전문의의 영역이지만, 기본적인 원리를 이해하면 검사 결과를 받았을 때 도움이 되요. CT 영상에서는 조직의 밀도에 따라 다른 색깔로 나타나요. 뼈와 같이 밀도가 높은 부위는 하얗게(고밀도), 뇌조직은 회색으로(중등도 밀도), 뇌척수액이나 공기는 검게(저밀도) 보여요. 이런 밀도 차이를 통해 정상과 비정상을 구분할 수 있답니다.
뇌출혈은 CT에서 가장 쉽게 발견할 수 있는 이상 소견이에요. 급성 뇌출혈은 주변 뇌조직보다 밝게 나타나기 때문에 한눈에 봐도 확인이 가능해요. 출혈의 위치에 따라 뇌내출혈, 지주막하출혈, 경막하출혈, 경막외출혈 등으로 분류되고, 각각의 치료법과 예후가 다르답니다. 출혈의 크기와 위치는 환자의 증상과 치료 방침을 결정하는 중요한 요소가 되어요.
뇌경색의 경우 CT에서는 초기에는 잘 보이지 않을 수 있어요. 뇌경색은 뇌조직으로의 혈액 공급이 차단되어 뇌세포가 죽어가는 과정인데, 이 변화가 CT에서 확인되려면 보통 6-12시간 정도 걸려요. 초기 뇌경색은 정상 뇌조직보다 약간 어둡게 보이거나 뇌부종으로 인한 변화로 나타날 수 있어요. 시간이 지나면서 뇌경색 부위는 더욱 어둡게 변하고 뚜렷해져요.
뇌종양은 CT에서 다양한 모습으로 나타날 수 있어요. 종양의 종류, 크기, 위치에 따라 다르게 보이는데, 대부분 정상 뇌조직과 다른 밀도를 가져요. 조영제를 사용하면 종양으로의 혈류 공급 상태를 확인할 수 있어서 양성 종양과 악성 종양을 구별하는 데 도움이 돼요. 종양 주변의 뇌부종도 함께 관찰할 수 있어서 종양의 악성도를 추정하는 데 중요한 정보가 됩니다.
📊 뇌 CT 영상 밀도 분류
| 밀도 | 영상 색깔 | 해당 조직 |
|---|---|---|
| 고밀도 | 흰색 | 뼈, 급성출혈 |
| 중등도밀도 | 회색 | 뇌조직 |
| 저밀도 | 검은색 | 뇌척수액, 공기 |
뇌 CT 결과지에는 보통 방사선과 전문의의 판독 소견이 함께 제공돼요. 여기에는 발견된 이상 소견, 추정 진단, 추가 검사 필요성 등이 기록되어 있어요. 환자분들이 직접 CT 영상을 보고 판단하기보다는 담당 의사의 설명을 듣고 치료 계획을 세우는 것이 가장 중요해요. CT는 진단의 한 부분일 뿐이고, 환자의 증상과 다른 검사 결과를 종합해서 최종 진단이 내려지거든요. 🔍
💰 뇌 CT 검사 비용과 보험
뇌 CT 검사 비용은 검사 종류와 병원에 따라 다르지만, 대략적인 비용을 미리 알아두면 도움이 되요. 단순 뇌 CT의 경우 건강보험이 적용되어 본인 부담금은 보통 3-5만원 정도예요. 조영증강 CT는 조영제 비용이 추가되어 7-10만원 정도 들어요. 응급실에서 시행하는 경우에는 응급료가 추가되어 비용이 더 올라갈 수 있답니다.
건강보험 적용 기준은 의학적 필요성이 인정되는 경우예요. 의사가 진료상 필요하다고 판단해서 처방한 CT 검사는 대부분 건강보험이 적용되어요. 하지만 단순한 건강검진 목적이나 환자가 원해서 하는 검사는 비급여로 분류되어 전액 본인 부담이 될 수 있어요. 따라서 검사 전에 보험 적용 여부를 확인해보는 것이 좋아요.
민간의료보험의 경우 CT 검사비를 보장하는 상품들이 많아요. 특히 암보험이나 뇌혈관질환 보험에서는 진단 관련 검사비를 별도로 보장해주는 경우가 많답니다. 보험에 가입되어 있다면 검사 전후에 보험회사에 연락해서 보장 여부와 청구 방법을 확인해보세요. 진단서와 영수증, 검사 결과지 등이 보험금 청구에 필요한 서류들이에요.
의료급여 수급자의 경우에는 더욱 저렴하게 검사받을 수 있어요. 1종 수급자는 본인 부담금이 거의 없고, 2종 수급자도 매우 적은 본인 부담금만 내면 돼요. 또한 중증질환으로 등록된 환자들은 관련 검사에 대해 본인 부담률이 줄어들거나 면제되는 경우도 있어요. 암 환자의 경우 산정특례가 적용되어 CT 검사비 부담이 크게 줄어들어요.
💰 뇌 CT 검사 비용 구분
| 검사 종류 | 건강보험 적용시 | 비급여시 |
|---|---|---|
| 단순 뇌 CT | 3-5만원 | 15-20만원 |
| 조영증강 CT | 7-10만원 | 25-35만원 |
| CT 혈관조영술 | 10-15만원 | 40-50만원 |
국가건강검진에서는 기본적으로 뇌 CT가 포함되어 있지 않아요. 하지만 일부 지자체에서 운영하는 특별 건강검진이나 뇌정밀검사 프로그램에서는 뇌 CT를 지원해주는 경우가 있어요. 특히 50세 이상이거나 뇌혈관질환 가족력이 있는 분들을 대상으로 하는 프로그램들이 있으니 거주 지역의 보건소에 문의해보시면 좋을 것 같아요. 💳
⚠️ 뇌 CT 검사 부작용과 주의사항
뇌 CT 검사는 비교적 안전한 검사이지만, X선을 사용하기 때문에 방사선 노출에 대한 우려가 있을 수 있어요. 한 번의 뇌 CT 검사로 받는 방사선량은 약 2mSv 정도로, 이는 자연 방사선을 8개월 정도 받는 양과 비슷해요. 이 정도의 방사선량은 인체에 즉각적인 해를 주지 않는 안전한 수준이에요. 하지만 임신 중이거나 임신 가능성이 있는 여성의 경우에는 태아에 대한 영향을 고려해야 해요.
조영제를 사용하는 CT의 경우 조영제에 의한 부작용을 주의해야 해요. 가장 흔한 부작용은 구역감, 구토, 두드러기, 가려움 등이에요. 대부분 경미하고 일시적이지만, 드물게 심한 알레르기 반응이 나타날 수 있어요. 과거에 조영제 알레르기가 있었던 분이나 천식, 알레르기 질환이 있는 분들은 검사 전에 미리 의료진에게 알려주세요.
신장 기능이 좋지 않은 환자의 경우 조영제 사용에 특별한 주의가 필요해요. 조영제는 신장을 통해 배설되는데, 신장 기능이 떨어져 있으면 조영제가 몸에 축적되어 신장에 손상을 줄 수 있어요. 이를 조영제 유발 신장병증이라고 하는데, 당뇨병이나 만성 신장질환이 있는 분들에게 더 위험해요. 따라서 검사 전에 신장 기능 검사를 시행하고, 필요시 수액 요법이나 예방 약물을 사용하기도 해요.
갑상선 기능 항진증이 있는 환자의 경우에도 요오드 조영제 사용에 주의해야 해요. 조영제에 포함된 요오드가 갑상선 기능을 더욱 악화시킬 수 있기 때문이에요. 갑상선 질환이 있는 분들은 검사 전에 내분비내과 상담을 받고, 필요시 갑상선 기능을 안정화시킨 후 검사를 받는 것이 안전해요. 또한 메트포르민 같은 당뇨약을 복용 중인 분들은 검사 전후로 약물 중단이 필요할 수 있어요.
⚠️ 뇌 CT 검사 금기사항
| 상황 | 위험도 | 대처방법 |
|---|---|---|
| 임신 | 상대적 금기 | MRI 우선 고려 |
| 조영제 알레르기 | 높음 | 전처치 또는 대체검사 |
| 심한 신장질환 | 중간 | 신기능 평가 후 결정 |
검사 후 주의사항도 알아두면 좋아요. 조영제를 사용한 경우 충분한 수분 섭취가 중요해요. 물을 많이 마시면 조영제가 빨리 배출되어 부작용 위험을 줄일 수 있거든요. 또한 검사 후 24-48시간 동안은 지연성 알레르기 반응이 나타날 수 있으니, 이상 증상이 생기면 즉시 병원에 연락하세요. 대부분의 경우 검사 후 바로 일상생활로 복귀할 수 있지만, 조영제 부작용이 있었다면 충분한 휴식을 취하는 것이 좋아요. ⚕️
🔍 뇌 CT vs 뇌 MRI 비교
뇌 CT와 뇌 MRI는 각각 다른 장단점을 가지고 있어서 상황에 따라 적절히 선택해야 해요. CT의 가장 큰 장점은 검사 속도가 빠르다는 것이에요. 응급상황에서 뇌출혈을 확인하거나 두부외상 환자의 응급 진단에는 CT가 최적이에요. 5-10분 정도면 검사가 끝나기 때문에 의식이 없거나 움직임이 많은 환자도 쉽게 검사할 수 있답니다.
MRI는 뇌조직의 세밀한 구조와 병변을 더 정확하게 보여줘요. 특히 초기 뇌경색, 작은 뇌종양, 뇌염, 다발성 경화증 등의 진단에는 MRI가 훨씬 우수해요. 또한 방사선을 사용하지 않기 때문에 임신 중이거나 어린이에게 더 안전해요. 하지만 검사 시간이 30분-1시간 정도로 길고, 비용이 더 비싸며, 금속 임플란트가 있는 환자는 검사를 받을 수 없다는 단점이 있어요.
급성 뇌출혈 진단에는 CT가 MRI보다 우수해요. 특히 24시간 이내의 급성 출혈은 CT에서 매우 밝게 보이기 때문에 쉽게 발견할 수 있어요. 반면 MRI는 출혈의 시기에 따라 신호 강도가 복잡하게 변해서 해석이 어려울 수 있답니다. 하지만 만성 출혈이나 미세 출혈의 경우에는 MRI가 더 민감하게 감지할 수 있어요.
뇌종양 진단에서는 MRI가 더 정확해요. MRI는 종양의 경계, 주변 조직으로의 침범, 혈류 공급 상태 등을 더 세밀하게 보여주거든요. 또한 뇌간이나 소뇌 같은 부위는 뼈에 의한 인공음영 때문에 CT에서는 잘 보이지 않지만, MRI에서는 명확하게 관찰할 수 있어요. 따라서 CT에서 이상이 의심되면 추가로 MRI를 촬영하는 경우가 많아요.
🔍 뇌 CT vs MRI 비교표
| 구분 | 뇌 CT | 뇌 MRI |
|---|---|---|
| 검사시간 | 5-10분 | 30-60분 |
| 방사선 | 있음 | 없음 |
| 급성 출혈 | 우수 | 보통 |
| 뇌종양 | 보통 | 우수 |
비용 면에서는 CT가 MRI보다 훨씬 저렴해요. 또한 접근성도 CT가 더 좋아서 대부분의 병원에서 24시간 검사가 가능해요. MRI는 아직 모든 병원에 있지 않고, 야간이나 휴일에는 검사가 어려운 경우가 많아요. 따라서 응급상황이 아니라면 CT로 1차 검사를 하고, 필요에 따라 MRI로 정밀 검사를 하는 것이 일반적인 진료 패턴이에요. 🏥
❓ FAQ
Q1. 뇌 CT 검사는 얼마나 자주 받을 수 있나요?
A1. 의학적 필요성이 있다면 횟수에 제한은 없어요. 하지만 방사선 노출을 고려해서 불필요한 반복 검사는 피하는 것이 좋아요. 보통 치료 경과 관찰을 위해서는 3-6개월 간격으로 검사하는 경우가 많답니다.
Q2. 뇌 CT 검사 전에 금식해야 하나요?
A2. 단순 CT는 금식할 필요가 없어요. 하지만 조영제를 사용하는 경우에는 검사 4-6시간 전부터 금식해야 해요. 물은 소량 드셔도 괜찮습니다.
Q3. CT 검사 중에 움직이면 어떻게 되나요?
A3. 움직임으로 인해 영상이 흐려져서 정확한 진단이 어려워져요. 심한 경우 재검사를 해야 할 수 있으니 검사 중에는 절대 움직이지 마세요.
Q4. 임신 중에도 뇌 CT 검사를 받을 수 있나요?
A4. 응급상황이 아니라면 피하는 것이 좋아요. 태아에 대한 방사선 영향을 고려해서 MRI나 초음파 검사를 우선 고려하게 됩니다.
Q5. 뇌 CT와 뇌 MRI 중 어느 것이 더 정확한가요?
A5. 질환에 따라 다르기 때문에 어느 것이 더 정확하다고 말하기 어려워요. 급성 뇌출혈은 CT가, 뇌종양이나 초기 뇌경색은 MRI가 더 정확해요.
Q6. CT 조영제 부작용은 언제까지 나타날 수 있나요?
A6. 대부분의 부작용은 검사 중이나 검사 직후에 나타나지만, 지연성 반응은 24-48시간 후에도 나타날 수 있어요. 이상 증상이 있으면 즉시 병원에 연락하세요.
Q7. 뇌 CT 결과는 언제 확인할 수 있나요?
A7. 응급실에서는 30분 내외로 빨리 확인할 수 있고, 외래에서는 보통 당일이나 다음 날 결과를 확인할 수 있어요. 병원마다 차이가 있을 수 있습니다.
Q8. 뇌 CT에서 이상이 없으면 뇌질환이 없다는 뜻인가요?
A8. 그렇지 않아요. CT는 구조적 이상을 보는 검사이기 때문에 초기 뇌경색이나 작은 병변은 놓칠 수 있어요. 증상이 지속되면 추가 검사가 필요할 수 있답니다.
'간지백-외과편 > 신경외과' 카테고리의 다른 글
| UBE 수술의 혁신과 장점 (3) | 2025.07.20 |
|---|---|
| 우측 뇌경색 증상과 치료법 (0) | 2025.07.19 |
| 뇌수술의 핵심, 두개골절개술 (0) | 2025.06.03 |
| 딸꾹질 치료에 사용되는 약물과 실제 효과 (1) | 2025.05.18 |
| 계속되는 딸꾹질, 병일 수 있어요? (0) | 2025.05.16 |