
📋 목차
흉부 엑스레이는 의료 영상 진단에서 가장 널리 쓰이는 검사 중 하나예요. 특히 흉부 PA(posterior-anterior)와 AP(anterior-posterior) 촬영 방식은 비슷해 보이지만 실제로는 촬영 위치와 정확도, 용도가 달라요.
이 차이를 제대로 이해하면, 영상 판독의 정확도는 물론이고 환자의 상태나 진료의 방향까지 훨씬 효과적으로 판단할 수 있어요. 흉부 방사선 사진 하나가 건강 상태에 대한 큰 힌트를 줄 수 있다는 점에서 정말 중요한 주제랍니다.
내가 생각했을 때, 이런 방사선 촬영법의 미묘한 차이를 이해하는 건 의료 종사자는 물론 일반인에게도 꼭 필요한 정보 같아요. 그럼, 이제 하나씩 자세히 살펴볼게요! 📸
흉부 X-ray의 기본 개념
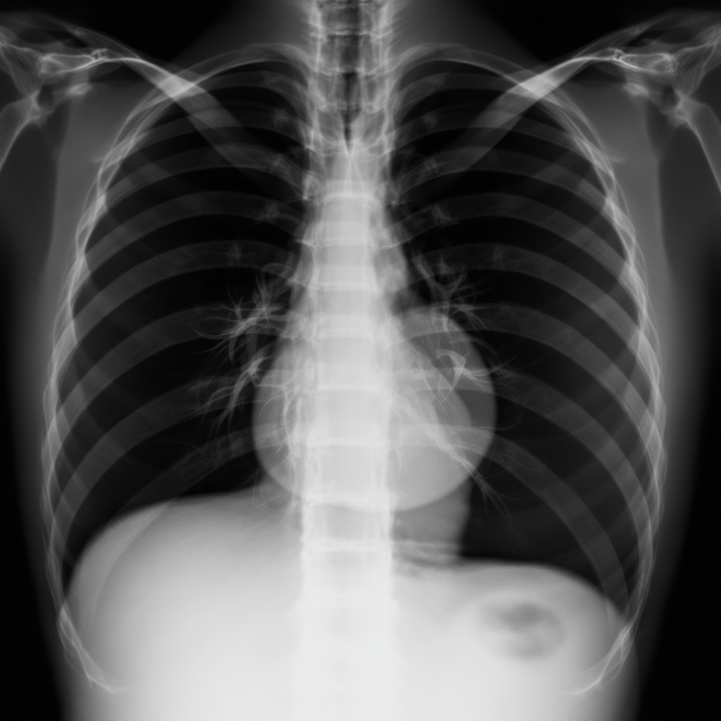
흉부 X-ray, 즉 흉부 방사선 촬영은 폐, 심장, 흉막, 늑골, 횡격막 같은 가슴 부위의 구조를 시각적으로 확인하기 위한 가장 기본적이면서도 중요한 영상 진단 도구예요. 전 세계적으로 감기나 폐렴 같은 감염 질환부터 심부전, 기흉, 폐색전증까지 다양한 질병을 진단할 때 쓰여요.
X-ray는 고에너지 전자파를 인체에 투과시켜 신체 내부 구조를 투영하는 방식이에요. 뼈는 단단해서 방사선을 흡수해 흰색으로 보이고, 공기가 많은 폐는 방사선을 그대로 통과시켜 어둡게 보이게 하죠. 이 명암 차이를 통해 내부 장기의 상태를 분석할 수 있어요.
그런데, 같은 흉부 X-ray라도 촬영하는 방향에 따라 결과가 크게 달라질 수 있어요. 바로 그 차이가 PA와 AP 촬영 방식의 핵심이에요. 두 방법 모두 가슴 부위를 찍지만, 방사선이 지나가는 경로와 몸의 위치가 달라서 영상의 품질과 해석 방식에도 영향을 미쳐요.
가령 PA 촬영은 병원에서 서서 촬영할 수 있을 때 가장 이상적인 방식이고, AP 촬영은 환자가 누워 있어야 하는 상황에서 주로 사용돼요. 그에 따라 영상의 왜곡 여부, 심장의 크기, 폐 음영 등에서 차이가 발생한답니다.
📌 PA vs AP 기본 정의 요약 🧠
| 촬영 방식 | PA (후방→전방) | AP (전방→후방) |
|---|---|---|
| 촬영 위치 | 서서 촬영 | 누워서 촬영 |
| 영상 왜곡 | 거의 없음 | 심장 확대 가능성 있음 |
| 용도 | 외래 및 입원 촬영 | 중환자실, 응급실 |
PA와 AP 촬영의 기술적 차이
PA 촬영은 환자가 방사선 발생기를 등 뒤에 두고, 앞쪽에 필름이나 디지털 검출기를 두는 방식이에요. 이 방법은 X-ray가 등에서 시작해서 가슴을 지나 전면 검출기로 전달돼요. 몸 전체가 자연스럽게 펴진 상태로 촬영되기 때문에 왜곡이 거의 없고, 심장과 폐의 위치도 실제와 비슷하게 나타나요.
반면 AP 촬영은 방사선이 앞에서 들어가고 등 쪽에 필름이 위치해요. 침상에서 촬영하는 경우가 많아서, 환자의 몸이 평평하지 않거나 촬영 각도가 일정하지 않은 경우도 있어요. 이로 인해 심장이 실제보다 커 보이는 경향이 있죠.
심장 크기가 크게 나오면 심비대 같은 질환으로 오해될 수 있어서, 영상 판독 시 주의가 필요해요. 그래서 가능한 경우에는 PA 촬영을 선호하는 이유기도 해요. 또한 폐야의 투명도나 기흉 진단 정확도 등도 PA가 더 우수하다고 알려져 있어요.
방사선의 경로가 일직선으로 유지되는 PA에 비해, AP는 환자 자세의 영향이 커서 영상 해석에 많은 경험과 주의가 필요하답니다. 따라서 촬영한 방식(PA인지 AP인지)을 반드시 확인하고 영상 판독을 진행해야 해요.
영상 정확도와 해석 차이
흉부 X-ray의 판독 정확도는 단순히 촬영 기술뿐 아니라 촬영 방식에 따라 큰 차이를 보여요. 예를 들어 PA 촬영은 심장의 윤곽과 크기를 보다 정확하게 보여주기 때문에 심장 관련 질환 감별에 유리해요. 특히 심비대 여부나 폐포 음영의 증가 여부를 해석할 때 이점이 많죠.
반면 AP 촬영은 심장이 확대되어 보이기 쉬워요. 이건 방사선이 심장을 먼저 지나가면서 상대적으로 영상에서 그 크기가 부풀려지기 때문이에요. 그래서 AP 촬영만 보고 심장이 커졌다고 판단하면 안 되고, 반드시 다른 임상 지표와 함께 해석해야 해요.
또한 폐의 음영 차이도 중요해요. AP에서는 횡격막이 덜 내려간 상태로 촬영되는 경우가 많아서 폐야가 줄어든 것처럼 보일 수 있어요. 반면 PA에서는 숨을 충분히 들이쉰 상태에서 촬영하므로 폐 야의 투과도가 더 명확하게 나타나요.
그 외에도 늑골 간격, 기도 위치, 흉막 삼출 여부 등도 PA 촬영이 더 신뢰도가 높다고 볼 수 있어요. 따라서 임상에서는 가능하면 PA를 기본 촬영 방식으로 삼고, 부득이한 상황에서만 AP 촬영을 활용하곤 해요.
🧪 해석 정확도 비교 📉
| 항목 | PA 촬영 | AP 촬영 |
|---|---|---|
| 심장 크기 | 정확하게 측정 가능 | 확대되어 보일 수 있음 |
| 폐야 투과도 | 높음 | 낮을 수 있음 |
| 기타 구조물 해석 | 정확도 높음 | 판독 난이도 높음 |
어떤 상황에서 각각 사용될까?
PA 촬영은 환자가 서 있거나 앉을 수 있을 때 이상적인 방식이에요. 주로 외래 진료, 입원 환자 촬영, 건강 검진 등 일상적인 상황에서 활용돼요. 또한 대형 병원에서는 PA를 기본으로 정해 놓고 있고, 진단 기준 또한 대부분 PA 기준으로 만들어져 있어요.
AP 촬영은 움직일 수 없는 중환자, 수술 후 회복 중이거나 산소 공급이 필요한 환자 등 침대에 누워 있는 경우에 쓰여요. 이 때는 환자를 움직이지 않고 기계 자체를 침상으로 이동시켜 촬영해야 하므로, 자연스럽게 AP 방식이 사용돼요.
응급실이나 중환자실(ICU)에서 흔히 쓰이는 방식이 바로 이 AP예요. 환자의 상태가 불안정할 때는 빠르게 확인하는 게 더 중요하니까, 완벽한 자세보다 촬영의 신속성이 우선되죠.
결국 환자의 상태에 따라 유연하게 선택되는 게 촬영 방식이에요. 영상 해석하는 의료진은 이 차이를 인지하고, 그에 맞는 해석 기준을 적용해야만 정확한 진단이 가능하답니다.
임상에서 본 실제 사례 🏥
의료 현장에서 PA와 AP 촬영의 차이는 진단에 큰 영향을 주기도 해요. 예를 들어 어떤 환자가 응급실에서 흉통을 호소하며 방문했을 때, 누운 채로 AP X-ray를 찍고 폐렴으로 의심된다는 소견을 받았어요. 하지만 다음 날 환자가 상태가 호전돼 서서 PA로 재촬영하자, 폐렴으로 보였던 음영이 단순히 촬영 각도의 왜곡으로 인한 착시였다는 사실이 밝혀졌죠.
이처럼 AP 촬영은 영상 왜곡이 있어 판독 실수로 이어질 수 있어요. 반대로, 어떤 중환자의 경우 PA로는 확인되지 않았던 미세한 기흉이 AP 뷰에서 확인되어 긴급 처치가 이루어진 사례도 있었어요. 이런 사례는 드물지만, AP 촬영도 나름의 가치를 지닌다는 걸 보여줘요.
영상의 미묘한 차이는 기도 이탈, 흉수, 무기폐, 심비대 여부 판단에도 영향을 미쳐요. 특히 심장이 실제보다 커 보일 수 있는 AP 사진은 심장 질환을 가진 환자에게 불필요한 걱정을 줄 수도 있기에, 이러한 오해를 방지하려면 촬영 방식의 차이를 제대로 이해하고 판독해야 해요.
임상에서는 환자의 현재 상태, 진단 필요성, 촬영 여건 등을 모두 고려해 최적의 방법을 선택하는 유연함이 정말 중요해요. 또한 영상 촬영 후에는 어떤 방식으로 촬영됐는지 항상 차트에 기입하고, 해석 시 반드시 참고해야 해요.
PA vs AP 요약 비교 📝
전체적으로 PA 촬영은 이상적인 환경에서의 정확한 진단을 가능하게 하고, AP 촬영은 제한된 환경에서 빠르게 환자 상태를 확인하는 데 유리해요. 둘 다 장단점이 뚜렷하기 때문에, 무조건 어느 하나가 우위라고 말하긴 어렵답니다.
PA는 영상이 더 선명하고 왜곡이 적으며, 일반적인 임상 환경에서 선호돼요. 반면 AP는 환자의 상태가 위중하거나 움직일 수 없는 상황에서 중요한 대안이 되죠. 그래서 의사들은 판독할 때 항상 ‘이 영상이 PA인지 AP인지’를 가장 먼저 체크해요.
환자 입장에서도 진단 결과에 영향을 줄 수 있으니, 검사를 받을 때 촬영 방식에 대해 가볍게 물어보는 것도 나쁘지 않아요. 특히 건강검진이나 재검사에서는 촬영 방식이 동일해야 비교가 가능하답니다.
결국 중요한 건 영상 촬영의 목적과 상황을 이해하고, 어떤 방식으로 찍힌 영상인지 정확히 알고 해석하는 거예요. 이걸 알면 불필요한 걱정을 줄이고, 진단 신뢰도도 높아져요. 🩻
FAQ
Q1. PA와 AP 촬영 중 어느 것이 더 정확한가요?
A1. 일반적으로 PA 촬영이 왜곡이 적고 정확도가 높다고 알려져 있어요.
Q2. 응급실에서 주로 어떤 방식으로 촬영하나요?
A2. 응급실이나 중환자실에서는 대부분 AP 촬영이 사용돼요. 환자가 누워 있기 때문이에요.
Q3. 심장 크기가 PA와 AP에서 왜 다르게 보이나요?
A3. AP 촬영은 심장이 먼저 방사선을 받기 때문에 더 커 보일 수 있어요.
Q4. 촬영 방식은 영상에 표시되나요?
A4. 네, 대부분의 X-ray 영상에는 PA 또는 AP 표기가 명시돼 있어요.
Q5. 건강검진 X-ray는 어떤 방식으로 촬영하나요?
A5. 일반적으로 건강검진에서는 PA 촬영이 기본이에요.
Q6. AP 촬영이 꼭 나쁜 건가요?
A6. 아니에요! 상황에 따라 필요한 방식이고, 판독 시 주의만 하면 괜찮아요.
Q7. PA로 촬영했는데 AP로 판독되면 어떻게 되나요?
A7. 판독 오류 가능성이 높아져요. 꼭 촬영 방식 확인하고 해석해야 해요.
Q8. 둘 다 찍어야 하는 경우도 있나요?
A8. 네, 경우에 따라 앞면 PA와 옆면 Lateral을 함께 촬영하기도 해요.
'간지백-간호지식백과 > 기본간호' 카테고리의 다른 글
| 항생제 계열별 정리 (0) | 2025.04.23 |
|---|---|
| 산정특례 지금 확인하는 법 총정리 (0) | 2025.04.22 |
| 산정특례 안 챙기면 치료비 폭탄💥 (0) | 2025.04.18 |
| PICC 응급상황 대처 완벽 매뉴얼 (0) | 2025.04.15 |
| PICC 삽입 전 반드시 확인할 필수사항 (0) | 2025.04.15 |