
📋 목차
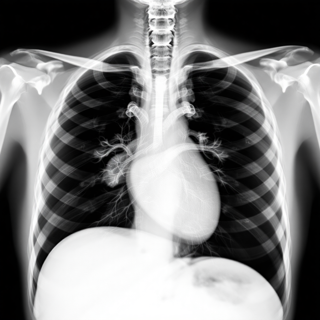
흉부 X-ray PA 촬영은 현대 의학에서 가장 기본적이면서도 중요한 검사 중 하나예요. PA는 Posterior-Anterior의 줄임말로, 등 쪽에서 앞쪽으로 X-ray를 조사하는 방식을 의미해요. 이 검사는 폐, 심장, 갈비뼈, 척추 등 흉부 내 장기들의 상태를 종합적으로 확인할 수 있어서 건강검진이나 질병 진단에 필수적으로 사용되고 있답니다.
많은 분들이 흉부 X-ray 촬영에 대해 막연한 불안감을 가지고 계시는데, 사실 이 검사는 매우 안전하고 간단한 과정이에요. 방사선 노출량도 극히 적어서 일상생활에서 받는 자연 방사선과 비슷한 수준이랍니다. 또한 비침습적인 검사이기 때문에 특별한 준비 없이도 쉽게 받을 수 있어요.
🫁 흉부 X-ray PA 촬영이란?
흉부 X-ray PA 촬영은 방사선을 이용해 가슴 안쪽의 구조물들을 영상으로 만드는 검사예요. X-ray는 우리 몸을 투과하면서 각 조직의 밀도에 따라 다르게 흡수되는 특성을 가지고 있어요. 뼈처럼 밀도가 높은 조직은 X-ray를 많이 흡수해서 흰색으로 나타나고, 공기가 찬 폐는 검은색으로 보이게 되죠. 이런 원리를 통해 의사들은 폐렴, 폐결핵, 폐암, 심장 비대 등 다양한 질환을 진단할 수 있어요.
PA 촬영법이 가장 표준적인 방법으로 사용되는 이유는 심장이 필름에 가까이 위치하게 되어 심장의 실제 크기에 가깝게 촬영되기 때문이에요. 만약 AP(Anterior-Posterior) 방식으로 촬영하면 심장이 확대되어 보일 수 있어서 정확한 진단에 어려움이 있을 수 있답니다. 그래서 대부분의 병원에서는 환자가 서서 가슴을 필름에 대고 촬영하는 PA 방식을 선호해요.
촬영 시간은 실제로 매우 짧아요. X-ray가 조사되는 시간은 불과 0.1초 정도이고, 전체 검사 시간도 5-10분 내외로 완료돼요. 내가 생각했을 때 이렇게 짧은 시간에 이렇게 많은 정보를 얻을 수 있다는 게 정말 놀라운 의학 기술이라고 생각해요. 특히 응급상황에서는 빠른 진단이 생명을 좌우할 수 있기 때문에 흉부 X-ray의 역할이 더욱 중요하답니다.
최근에는 디지털 X-ray 시스템이 널리 보급되면서 화질이 더욱 선명해지고, 방사선 노출량도 기존 필름 방식에 비해 50% 정도 감소했어요. 또한 촬영 즉시 결과를 확인할 수 있어서 재촬영의 필요성도 크게 줄어들었답니다. 이런 기술 발전 덕분에 환자들의 부담도 많이 줄어들었어요.
🏥 흉부 X-ray 검사 종류별 특징
| 검사 방법 | 장점 | 단점 |
|---|---|---|
| PA 촬영 | 심장 크기 정확 | 서있기 어려운 환자 불가 |
| AP 촬영 | 누워서 촬영 가능 | 심장 확대되어 보임 |
| 측면 촬영 | 추가 정보 제공 | 방사선 노출 증가 |
각각의 촬영법은 고유한 장단점이 있기 때문에 환자의 상태와 진단 목적에 따라 적절한 방법을 선택하게 되어요. 🫁
⚡ 건강검진 놓치면 큰일날 수도 있어요!
👇 국가건강검진 대상자 확인하세요
📝 촬영 전 준비사항
흉부 X-ray 촬영을 위한 준비는 생각보다 간단해요. 가장 중요한 것은 금속 물질을 모두 제거하는 것이에요. 목걸이, 브래지어 와이어, 단추, 지퍼, 벨트 버클 등 모든 금속 제품들이 X-ray 영상에서 하얀 그림자로 나타나 정확한 진단을 방해할 수 있거든요. 특히 여성분들의 경우 브래지어를 벗고 병원에서 제공하는 가운을 입게 되는데, 이때 당황하지 마시고 자연스럽게 따라주시면 돼요.
촬영 당일 복장도 신경 써야 해요. 가능하면 금속 장식이 없는 옷을 입고 오시는 것이 좋아요. 티셔츠나 면 소재의 상의가 가장 이상적이고, 후드티나 두꺼운 스웨터는 피하는 것이 좋답니다. 또한 헤어핀이나 헤어밴드 같은 머리 장식품도 미리 제거해 주세요. 이런 작은 금속들도 목 부위나 어깨 주변에 음영을 만들 수 있어요.
임신 가능성이 있는 여성분들은 반드시 의료진에게 미리 알려주셔야 해요. 임신 초기에는 태아에게 방사선이 영향을 줄 수 있기 때문에 꼭 필요한 경우가 아니라면 검사를 연기하거나 다른 검사 방법을 고려하게 되거든요. 마지막 생리일을 정확히 기억해두시고, 임신 가능성이 조금이라도 있다면 솔직하게 말씀해 주세요.
식사나 물 섭취에 대한 제한은 일반적으로 없어요. 하지만 일부 조영제를 사용하는 특수 검사의 경우에는 금식이 필요할 수 있으니, 예약 시에 확인해보시는 것이 좋아요. 또한 평소 복용하는 약물도 그대로 드시면 되는데, 만약 심박조율기나 인공관절 등의 의료기기를 몸에 가지고 계신다면 미리 의료진에게 알려주시기 바라요.
심리적 준비도 중요해요. 처음 받는 분들은 긴장될 수 있지만, 방사선 기사분들이 친절하게 자세를 안내해 주시니까 너무 걱정하지 마세요. 촬영실 안에서는 혼자 있게 되지만, 기사분이 밖에서 지켜보고 있고 인터폰으로 소통할 수 있어요. 만약 폐소공포증이 있으시다면 미리 말씀해 주시면 배려해 드릴 수 있답니다.
📋 촬영 전 체크리스트
| 준비사항 | 중요도 | 비고 |
|---|---|---|
| 금속 장신구 제거 | 필수 | 목걸이, 브래지어 등 |
| 적절한 복장 | 권장 | 면 소재 상의 |
| 임신 여부 확인 | 필수 | 가임기 여성 |
준비사항을 미리 체크해두시면 검사가 훨씬 수월하게 진행될 수 있어요. 📝
📸 촬영 과정과 자세
흉부 X-ray 촬영 과정은 정말 간단해요. 먼저 접수를 마치고 대기실에서 기다리다가 이름이 불리면 촬영실로 들어가게 되어요. 촬영실에 들어가면 방사선 기사분이 친절하게 안내해 주실 거예요. 상의를 탈의하고 병원에서 제공하는 가운을 입게 되는데, 이때 가운의 여밈은 뒤쪽으로 해야 한다는 점 기억해 주세요. 앞쪽에 단추나 끈이 있으면 X-ray 영상에 방해가 될 수 있거든요.
촬영 자세가 가장 중요한 부분이에요. PA 촬영에서는 가슴을 X-ray 카세트(필름판)에 밀착시키고 서게 되어요. 이때 턱을 살짝 들어서 목뼈가 폐와 겹치지 않도록 하고, 양손은 허리에 올려놓거나 머리 위로 올리는 자세를 취하게 돼요. 어깨는 자연스럽게 내리고, 등을 곧게 펴는 것이 중요해요. 처음에는 어색할 수 있지만 기사분이 자세히 설명해 주시니까 걱정 안 하셔도 돼요.
호흡 조절도 매우 중요한 부분이에요. X-ray를 조사하는 순간에는 숨을 깊게 들이마시고 참아야 해요. 보통 '크게 숨을 들이마시고 참으세요'라는 안내가 나오면 최대한 깊게 숨을 들이마신 후 잠시 멈춰 있어야 해요. 이렇게 해야 폐가 최대한 펼쳐져서 폐의 모든 부위를 선명하게 관찰할 수 있거든요. 숨을 참는 시간은 보통 3-5초 정도로 짧으니까 너무 부담스러워하지 마세요.
촬영 중에는 절대 움직이면 안 돼요. 조금이라도 움직이면 영상이 흐려져서 재촬영을 해야 할 수도 있어요. 특히 기침이나 재채기가 나올 것 같으면 미리 말씀해 주세요. 촬영이 완료되면 '이제 숨을 내쉬셔도 됩니다'라는 안내가 나와요. 그러면 자연스럽게 숨을 내쉬고 잠시 기다리시면 되어요. 간혹 영상 확인 후 재촬영이 필요한 경우도 있는데, 이는 화질 문제이지 건강상 이상이 있다는 뜻은 아니니까 걱정하지 마세요.
측면 촬영이 추가로 필요한 경우도 있어요. 이때는 몸을 옆으로 돌려서 어깨를 카세트에 밀착시키고 촬영하게 되어요. 양팔은 머리 위로 올리거나 앞으로 뻗는 자세를 취하게 돼요. 측면 촬영은 정면에서 보이지 않는 부위의 병변을 확인하기 위해 시행하는 경우가 많아요. 전체 촬영 시간은 두 방향을 모두 촬영해도 10분을 넘지 않아요.
📏 올바른 촬영 자세 가이드
| 촬영 방향 | 자세 요령 | 주의사항 |
|---|---|---|
| PA 정면 | 가슴을 카세트에 밀착 | 턱 들기, 어깨 내리기 |
| 측면 | 옆으로 서서 팔 올리기 | 등 곧게 펴기 |
| 호흡 | 깊게 들이마시고 참기 | 3-5초간 정지 |
올바른 자세로 촬영하면 더 정확한 진단이 가능해져요. 📸
🔍 판독 결과 해석법
흉부 X-ray 판독 결과를 이해하는 것은 일반인에게는 쉽지 않은 일이에요. 하지만 기본적인 내용들을 알아두시면 의사 선생님의 설명을 더 잘 이해할 수 있어요. 먼저 정상 소견부터 알아보면, '양측 폐야 clear', 'Heart size normal', 'No active lung lesion' 같은 표현들이 나오면 특별한 이상이 없다는 뜻이에요. 이런 경우 안심하셔도 되지만, 정기적인 건강검진은 계속 받으시는 것이 좋아요.
만약 이상 소견이 발견되면 어떤 의미인지 궁금하실 텐데요. 'Pneumonia'는 폐렴을 의미하고, 'Pleural effusion'은 흉막에 물이 찬 상태를 말해요. 'Cardiomegaly'는 심장이 커진 것이고, 'Pneumothorax'는 기흉으로 폐에 구멍이 생겨 공기가 새는 상태예요. 이런 용어들이 나왔다고 해서 너무 당황하지 마시고, 담당 의사와 충분히 상담을 받으시는 것이 중요해요.
판독 결과에서 자주 나오는 'Old healed lesion'이나 'Calcified granuloma' 같은 표현들은 예전에 앓았던 염증이 치유되면서 남은 흔적을 의미해요. 이는 대부분 문제가 되지 않는 소견이지만, 정확한 판단을 위해서는 의사와 상담이 필요해요. 또한 'Follow up recommended' 라는 표현이 나오면 추후 경과 관찰이 필요하다는 뜻이니까, 권장하는 시기에 맞춰 재검사를 받으시는 것이 좋아요.
때로는 'Technical factors suboptimal' 같은 표현이 나올 수도 있는데, 이는 촬영 조건이 최적이 아니었다는 뜻이에요. 환자분이 움직였거나 호흡을 제대로 조절하지 못했을 때 나타날 수 있어요. 이런 경우 재촬영이 필요할 수 있으니까 의료진의 안내에 따라 주시면 돼요. 또한 임신부나 소아의 경우 방사선 노출을 최소화하기 위해 특별한 프로토콜을 사용하기도 해요.
판독 결과는 보통 촬영 당일이나 다음 날에 나와요. 응급한 경우에는 즉시 예비 판독 결과를 받을 수 있고, 최종 판독은 영상의학과 전문의가 정밀하게 검토한 후 확정되어요. 만약 판독 결과에 대해 궁금한 점이 있으시면 언제든지 담당 의사에게 문의하시기 바라요. 의학 용어가 어려울 수 있지만, 충분한 설명을 들으시면 이해하실 수 있을 거예요.
📊 흉부 X-ray 판독 용어 정리
| 의학 용어 | 한글 의미 | 심각도 |
|---|---|---|
| Clear lung fields | 정상 폐 | 정상 |
| Pneumonia | 폐렴 | 중등도 |
| Cardiomegaly | 심장비대 | 주의필요 |
의학 용어를 미리 알아두시면 판독 결과를 이해하는 데 도움이 될 거예요. 🔍
⚠️ 주의사항과 부작용
흉부 X-ray는 매우 안전한 검사이지만, 몇 가지 주의사항들을 알아두시는 것이 좋아요. 먼저 방사선 노출에 대한 걱정을 많이 하시는데, 흉부 X-ray 한 번 촬영으로 받는 방사선량은 약 0.1mSv로 매우 적어요. 이는 자연 방사선을 10일 정도 받는 양과 비슷하고, 비행기를 타고 뉴욕을 왕복할 때 받는 방사선량과도 비슷한 수준이에요. 따라서 일반적인 건강검진 목적으로는 전혀 걱정할 필요가 없답니다.
하지만 임신부의 경우에는 좀 더 신중해야 해요. 특히 임신 초기 8-15주는 태아의 장기가 형성되는 중요한 시기이기 때문에 불필요한 방사선 노출은 피하는 것이 좋아요. 만약 임신 중에 꼭 필요한 경우라면 복부에 납 보호대를 착용하고 촬영하게 되어요. 수유 중인 산모의 경우에는 특별한 제한이 없지만, 조영제를 사용하는 특수 검사의 경우에는 일시적으로 수유를 중단해야 할 수도 있어요.
어린이의 경우에는 성인보다 방사선에 더 민감하기 때문에 꼭 필요한 경우에만 촬영하게 되어요. 소아 전용 프로토콜을 사용해서 방사선량을 최소화하고, 촬영 범위도 필요한 부위로만 제한해요. 또한 아이가 움직이지 않도록 보호자가 함께 들어가서 도와주는 경우도 있는데, 이때 보호자도 납 보호대를 착용하게 되어요.
반복 촬영에 대한 우려도 있으실 텐데, 일반적으로 1년에 몇 번 정도의 흉부 X-ray는 전혀 문제가 되지 않아요. 하지만 의료진도 불필요한 방사선 노출을 피하기 위해 항상 신중하게 판단하고 있어요. 만약 이전 촬영 결과가 있다면 가져오시면 참고할 수 있고, 짧은 기간 내에 여러 번 촬영해야 하는 경우에는 대안적인 검사 방법을 고려하기도 해요.
촬영 후에는 특별한 주의사항이 없어요. 바로 일상생활로 돌아가셔도 되고, 운동이나 식사에도 제한이 없어요. 다만 결과가 나올 때까지는 약간의 불안감을 느끼실 수 있는데, 이는 자연스러운 반응이에요. 만약 결과에 대해 궁금한 점이 있으시면 언제든지 의료진에게 문의하시고, 필요하다면 추가 검사나 치료에 대해서도 충분히 상담받으시기 바라요.
⚡ 방사선 노출량 비교표
| 검사/활동 | 방사선량 (mSv) | 비교 |
|---|---|---|
| 흉부 X-ray | 0.1 | 자연방사선 10일 |
| 항공기 뉴욕 왕복 | 0.1 | 흉부 X-ray와 비슷 |
| CT 검사 | 7 | X-ray의 70배 |
방사선량을 비교해보면 흉부 X-ray가 얼마나 안전한지 알 수 있어요. ⚠️
💰 비용과 보험적용
흉부 X-ray 촬영 비용은 병원마다 약간씩 차이가 있지만, 일반적으로 건강보험이 적용되는 경우 본인부담금은 1만원 내외예요. 국가건강검진 대상자라면 무료로 받을 수 있고, 회사 건강검진이나 학교 건강검진에서도 기본 항목으로 포함되어 있어서 추가 비용 없이 받을 수 있는 경우가 많아요. 만약 증상이 있어서 의사의 처방으로 촬영하는 경우에는 건강보험이 적용되어서 부담이 크지 않아요.
건강보험 적용 기준을 좀 더 자세히 알아보면, 호흡기 증상이나 흉부 관련 증상이 있을 때, 정기 건강검진 시, 수술 전 검사 등의 경우에는 보험이 적용되어요. 하지만 단순히 건강상태 확인을 위한 개인적인 검사나 해외여행 전 건강증명서 발급 목적 등은 비급여로 분류되어서 전액 본인부담이 될 수 있어요. 이런 경우 병원마다 차이가 있지만 보통 3-5만원 정도의 비용이 발생해요.
국가건강검진 대상자 확인은 국민건강보험공단 홈페이지에서 쉽게 할 수 있어요. 직장가입자는 2년마다, 지역가입자와 피부양자는 매년 건강검진을 받을 수 있고, 이때 흉부 X-ray는 기본 항목으로 포함되어 있어요. 만 40세 이상이라면 생애전환기 건강진단 대상자가 되어서 좀 더 포괄적인 검사를 받을 수 있답니다.
민간보험의 경우에도 대부분 흉부 X-ray 비용을 보장하고 있어요. 실손의료보험에 가입되어 있다면 본인부담금도 보상받을 수 있고, 정기 건강검진 특약이 있다면 연 1회 정도는 보험으로 커버되는 경우가 많아요. 다만 보험사마다 약관이 다르니까 미리 확인해보시는 것이 좋겠어요.
비용을 절약하는 방법도 있어요. 보건소에서는 상당히 저렴한 비용으로 건강검진을 받을 수 있고, 일부 지자체에서는 주민들을 위한 무료 건강검진 행사를 정기적으로 개최하기도 해요. 또한 대학병원이나 종합병원보다는 의원급 병원에서 촬영하는 것이 비용 면에서 유리할 수 있어요. 하지만 비용보다는 정확한 진단과 적절한 치료가 더 중요하다는 점을 잊지 마세요.
💳 흉부 X-ray 비용 안내
| 검사 유형 | 비용 (본인부담) | 보험적용 |
|---|---|---|
| 국가건강검진 | 무료 | 전액지원 |
| 증상시 촬영 | 5,000-10,000원 | 건강보험 적용 |
| 개인 검진 | 30,000-50,000원 | 비급여 |
검사 목적에 따라 비용이 다르니까 미리 확인해보시는 것이 좋아요. 💰
👨⚕️ 병원 선택 요령
흉부 X-ray 촬영을 위한 병원 선택도 중요한 부분이에요. 먼저 집 근처의 접근성을 고려하시는 것이 좋아요. 정기적인 건강검진이나 경과 관찰이 필요한 경우 자주 방문해야 할 수 있기 때문이죠. 또한 주차 시설이나 대중교통 접근성도 미리 확인해보시면 좋겠어요. 요즘은 대부분의 병원에서 온라인 예약 시스템을 운영하고 있어서 미리 예약하고 가시면 대기시간을 줄일 수 있어요.
병원의 장비도 중요한 선택 기준이에요. 최신 디지털 X-ray 장비를 갖춘 병원이 좋은데, 이런 곳은 방사선 노출량도 적고 화질도 더 선명해요. 또한 즉시 결과를 확인할 수 있어서 재촬영의 가능성도 줄어들어요. 대학병원이나 종합병원의 경우 최신 장비를 갖추고 있는 경우가 많지만, 의원급 병원 중에도 좋은 장비를 갖춘 곳들이 많으니까 미리 알아보시는 것이 좋아요.
의료진의 전문성도 고려해야 할 요소예요. 영상의학과 전문의가 상주하는 병원이라면 더 정확한 판독을 받을 수 있어요. 특히 미세한 병변이나 초기 병변의 경우 전문의의 경험과 실력이 중요하거든요. 또한 촬영 기사분들의 숙련도도 영상의 질에 영향을 주기 때문에, 경험이 많은 병원을 선택하시는 것이 좋겠어요.
비용적인 측면도 무시할 수 없어요. 같은 검사라도 병원마다 비용 차이가 있을 수 있으니까 미리 문의해보시는 것이 좋아요. 특히 비급여 항목이 포함될 경우 비용 차이가 클 수 있어요. 하지만 너무 비용만 고려해서 선택하시기보다는 의료의 질과 적절한 균형을 찾으시는 것이 중요해요.
병원의 서비스 품질도 고려 대상이에요. 친절한 직원들과 쾌적한 환경, 그리고 체계적인 시스템을 갖춘 병원이라면 검사 과정이 훨씬 편안할 거예요. 또한 결과 설명을 자세히 해주고, 추후 관리에 대한 조언도 제공하는 병원이라면 더욱 만족스러운 경험을 하실 수 있을 거예요. 인터넷 리뷰나 주변 사람들의 추천도 참고하시면 도움이 될 것 같아요.
🏥 병원 선택 체크리스트
| 선택 기준 | 중요도 | 확인사항 |
|---|---|---|
| 접근성 | 높음 | 거리, 교통편 |
| 장비 | 높음 | 디지털 X-ray 여부 |
| 전문의 | 중간 | 영상의학과 전문의 |
병원 선택 시 이런 기준들을 참고하시면 도움이 될 거예요. 👨⚕️
❓ FAQ
Q1. 흉부 X-ray 촬영 전에 금식해야 하나요?
A1. 일반적인 흉부 X-ray 촬영 전에는 금식할 필요가 없어요. 평소와 같이 식사하시고 오셔도 전혀 문제가 되지 않답니다. 다만 조영제를 사용하는 특수 검사의 경우에는 금식이 필요할 수 있으니 예약 시 확인해보시기 바라요.
Q2. 임신 중 흉부 X-ray 촬영이 안전한가요?
A2. 임신 초기에는 가능하면 피하는 것이 좋지만, 꼭 필요한 경우라면 복부 보호대를 착용하고 촬영할 수 있어요. 흉부 X-ray의 방사선량은 매우 적어서 태아에게 큰 영향을 주지는 않지만, 의사와 충분히 상담 후 결정하시는 것이 좋겠어요.
Q3. 흉부 X-ray로 모든 폐 질환을 발견할 수 있나요?
A3. 흉부 X-ray는 기본적인 검사이지만 모든 폐 질환을 발견할 수는 없어요. 초기 폐암이나 작은 결절, 미세한 염증 등은 CT 검사가 더 정확해요. 그래서 의심스러운 증상이 있거나 고위험군에 속한다면 추가 검사가 필요할 수 있어요.
Q4. 얼마나 자주 흉부 X-ray를 촬영해야 하나요?
A4. 건강한 성인이라면 1-2년에 한 번씩 건강검진 때 촬영하시면 충분해요. 하지만 폐 질환의 과거력이 있거나 흡연자, 고령자의 경우에는 의사와 상담하여 더 자주 검사받으시는 것이 좋겠어요.
Q5. 결과는 언제 확인할 수 있나요?
A5. 대부분의 병원에서는 촬영 당일이나 다음 날에 결과를 확인할 수 있어요. 응급한 경우에는 즉시 예비 판독 결과를 받을 수 있고, 최종 결과는 영상의학과 전문의의 정밀 판독 후 나와요.
Q6. 촬영 시 아프거나 불편한가요?
A6. 전혀 아프지 않아요! 단지 X-ray 기계 앞에 서서 잠시 숨을 참는 정도예요. 촬영 시간도 몇 초에 불과하고, 전체 과정도 10분 이내에 끝나니까 전혀 부담스럽지 않을 거예요.
Q7. 방사선 노출이 걱정되는데 안전한가요?
A7. 매우 안전해요! 흉부 X-ray 한 번 촬영으로 받는 방사선량은 자연 방사선을 10일 정도 받는 양과 비슷해요. 이는 비행기를 타고 뉴욕을 왕복할 때 받는 방사선량과도 비슷한 수준이라서 전혀 걱정할 필요가 없어요.
Q8. 건강보험이 적용되나요?
A8. 네, 대부분의 경우 건강보험이 적용돼요. 증상이 있어서 의사 처방으로 촬영하는 경우나 국가건강검진의 경우에는 보험이 적용되어서 부담이 크지 않아요. 국가건강검진 대상자라면 아예 무료로 받을 수 있답니다.
'간지백-내과편 > 호흡기' 카테고리의 다른 글
| NIV 비침습적 인공호흡기의 모든 것 (0) | 2025.11.02 |
|---|---|
| 산소포화도 90%인데 멀쩡해 보여요, 괜찮은 건가요? (5) | 2025.08.04 |
| 호흡기바이러스 19종 완벽 가이드 (1) | 2025.06.23 |
| 폐렴원인균 검사 완벽가이드 (1) | 2025.06.22 |
| 딸꾹질과 폐 질환의 숨겨진 연결고리 (5) | 2025.05.18 |